你有没有听说过肉瘤呢?这种听起来有点吓人的词儿,其实离我们并不遥远。今天,就让我带你一起揭开肉瘤的神秘面纱,看看那些让人惊叹的肉瘤图片大全吧!
什么是肉瘤?
肉瘤,听起来是不是有点像是从科幻小说里跳出来的怪物?其实,肉瘤是一种由细胞异常增生形成的肿瘤,它们可以出现在身体的任何部位。别看肉瘤名字听起来吓人,但它们分为良性和恶性两种。良性肉瘤通常生长缓慢,不会扩散到其他部位;而恶性肉瘤则生长迅速,有很高的转移风险。

肉瘤的分类
肉瘤的种类繁多,根据它们发生的部位和细胞类型,可以分为以下几类:
1. 软组织肉瘤:这类肉瘤发生在肌肉、肌腱、血管、神经等软组织中,常见的有纤维肉瘤、脂肪肉瘤、平滑肌肉瘤等。

2. 骨肉瘤:顾名思义,这类肉瘤发生在骨骼上,如股骨、肱骨等,常见的有骨肉瘤、软骨肉瘤等。

3. 神经源性肉瘤:这类肉瘤起源于神经组织,如神经鞘瘤、神经纤维瘤等。
4. 腺肉瘤:这类肉瘤起源于腺体组织,如乳腺、甲状腺等。
肉瘤的图片大全
下面,就让我们一起欣赏一下这些让人惊叹的肉瘤图片吧!
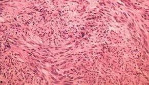
1. 软组织肉瘤
这张图片展示了一例位于大腿的软组织肉瘤。可以看到,肿瘤呈现出不规则的形状,颜色较深,与周围正常组织界限不清。
2. 骨肉瘤
这张图片展示了一例位于股骨的骨肉瘤。肿瘤呈现出梭形,与周围正常骨骼界限明显,但肿瘤内部结构较为复杂。
3. 神经源性肉瘤
这张图片展示了一例位于颈部的神经源性肉瘤。肿瘤呈现出圆形,与周围正常组织界限清晰,但肿瘤表面有明显的血管扩张。
4. 腺肉瘤
这张图片展示了一例位于乳腺的腺肉瘤。肿瘤呈现出圆形,与周围正常组织界限明显,但肿瘤内部结构较为复杂。
肉瘤的诊断与治疗
肉瘤的诊断主要依靠影像学检查和病理学检查。影像学检查包括X光、CT、MRI等,可以观察到肿瘤的大小、形态、部位等信息。病理学检查则是通过取肿瘤组织进行显微镜观察,确定肿瘤的类型和性质。
肉瘤的治疗方法包括手术、放疗、化疗等。手术是治疗肉瘤的主要手段,目的是切除肿瘤及其周围可能受累的组织。放疗和化疗则用于辅助治疗,降低肿瘤复发和转移的风险。
通过今天的介绍,相信你对肉瘤有了更深入的了解。虽然肉瘤听起来有些吓人,但只要及时诊断和治疗,大多数患者都能获得良好的预后。所以,如果你或身边的人出现相关症状,一定要及时就医哦!
